Boynuna 30 santimlik Kazık Saplanan Hasta KSÜ Tıp’ta Gerçekleştirilen Ameliyatla Sağlığına Kavuştu
Kahramanmaraş’ın Pazarcık ilçesinde gerçekleşen trafik kazasında 19 yaşındaki kızın boynundan girip koltukaltından çıkan 30 santimetrelik kazık, Kahramanmaraş Sütçü İmam Üniversitesi (KSÜ) Sağlık Uygulama ve Araştırma Hastanesinde (KSÜ Tıp) gerçekleştirilen başarılı bir ameliyatla çıkarıldı.
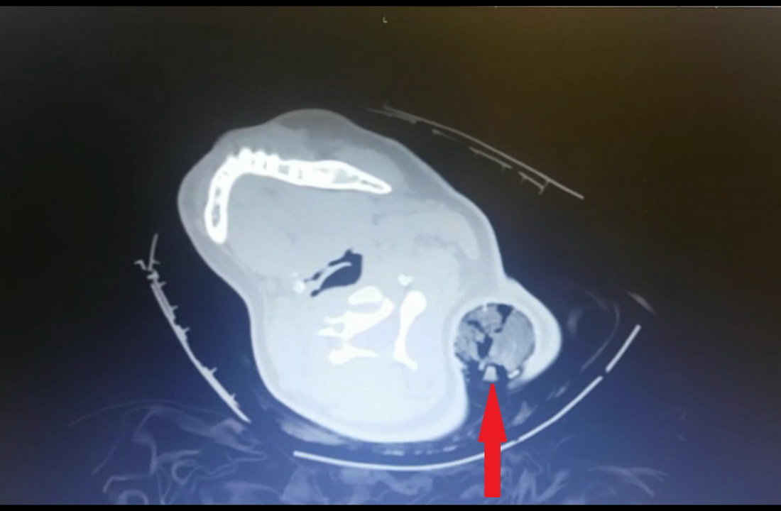
31 Temmuz 2019 da başka bir aracın sıkıştırması sonucu kaza geçiren aracın yolcu koltuğunda oturan 19 yaşındaki B.Ö.’nün boynuna saplanan 30 santimetrelik tahta kazık sol koltuk altından çıktı. Tahta kazığı ameliyatla çıkaran KSÜ Tıp Fakültesi Ortopedi ve Travmatoloji Anabilim Dalı Öğretim Üyesi Dr. Bülent Güneri, genç kızın sadece bir kaburgasının kırıldığını, sinir ve damarlarının zarar görmediğini belirterek, "Tıp literatüründe bu şekilde boyundan girip koltuk altından çıkan bir cisim yok" dedi.
Kazada ağır yaralanan genç kız, vücuduna saplanan tahta kazık ile KSÜ Tıp’a götürüldü. Hastaneye bilinci açık olarak gelen B.Ö.’ye acilde yapılan ilk değerlendirmenin ardından acil hekimlerince Ortopedi ve Travmatoloji Anabilim Dalı Öğretim Üyesi Dr. Bülent Güneri’ye haber verdi. Hastanın yanına gelen Güneri, çekilen tomografi görüntülerini inceledikten sonra genç kızı ameliyata aldı. Yaklaşık yarım saat süren ameliyatla tahta kazık çıkarılırken, kazığın sinir ve damarlara zarar vermemesi nedeniyle mucize eseri hayatta kalan genç kız olayı bir kaburga kırığı ile atlattı. B.Ö. hastanede gördüğü bir haftalık tedavi sonrası sağlığına kavuşarak taburcu edildi.
Bu tür vakalarda genellikle sinir ve damar yaralanmalarının olduğunu ancak bu olayda sinir ve damar yaralanmasının olmayışının çok ilginç olduğunu ifade eden Güneri, “Hastayı acil ameliyata aldık. Ameliyat esnasında Göğüs Cerrahisi hocamız Dr. Öğretim Üyesi Ahmet Acıpayam ve Kalp ve Damar Cerrahisi hocamız Doç. Dr. Mehmet Acıpayam hazır bulundular herhangi bir komplikasyona yönelik olarak. Ameliyathanede yaptığımız değerlendirmeden sonra anestezi altında yaklaşık 30 santimetrelik tahta bir kazık çıkardık hastadan. Kazık, hastanın saçlarını dolayarak boynundan girip sol kol altından çıkmıştı. Ve böyle kirli bir yaralanma, ev dışında, sokakta olan bir yaralanma enfeksiyon açısından oldukça risklidir. Ama ameliyat esnasında yaptığımız girişimler ve titizlikle uyguladığımız antibiyotik tedavisi sayesinde hastamızda bir enfeksiyon meydana gelmedi” diye konuştu.
Olayın çok ilginç olması nedeniyle daha önce bu ve buna benzer bir vakanın olup olmadığını araştırdığını belirten Dr. Bülent Güneri, şöyle devam etti: “Tıp literatüründe benzer yaralanmalar var, metal ve tahta cisim saplanmaları görülüyor. Ancak bu şekilde boyundan girip koltuk altından çıkan bir cisim yaptığım taramalarda tespit etmedim. Ancak literatürde bildirilen vakalarda çok ciddi sinir yaralanmaları ya da omuriliğe saplanıp da enfeksiyona yol açan bu nedenle tedavi görmek zorunda olan hastalar mevcut. Bizim hastamızda herhangi sinir veya damarsal yapıya denk gelmedi ancak bir kaburga kırığına yol açtı ve içeride bol miktarda hastanın saç bulunduğu için bizi daha çok uğraştıran içeride bulunan saç parçalarıydı. Biz, kazığın gidiş yönü boyunca açmayıp, kazığı ters yönde çıkartıp içeriye bol miktarda steril sıvıyla yıkama uyguladık ve iyi bir antibiyotik tedavisi verdiğimizi düşünüyorum. Bu sayede de bir sorun meydana gelmedi. Hasta oldukça talihli bene, birçok kişi bunu mucize olarak değerlendirebilir. Beni ve ekibimi oldukça şaşırttı. Ve hastayı birlikte değerlendiren cerrahi branştan diğer hocalarımızı da oldukça şaşırttı. Adeta mucize gibiydi diyebilirim.”
KSÜ Tıp’ta çok başarılı ameliyatlara imza atıldığına dikkat çeken Dr. Öğretim Üyesi Bülent Güneri, ameliyat ekibinde yer alan Göğüs Cerrahisi Anabilim Dalı Dr. Öğretim Üyesi Ahmet Acıpayam’a, Kalp ve Damar Cerrahisi Anabilim Dalı Öğretim Üyesi Doç. Dr. Mehmet Acıpayam’a, Anesteziyoloji ve Reanimasyon Anabilim Dalından Dr. Öğretim Üyesi Yavuz Orak ve Arş. Gör. Deniz Çakır’a, Ortopedi ve Travmatoloji anabilim Dalı Araştırma Görevlileri Dr. Ümit Akdağ ve Dr. Halil İbrahim Yönder’e teşekkür etti.